More Stunning Smile Transformations











Visualize Your Ideal Smile
At Lux Smiles, we preview your new smile before ever adjusting your teeth. This is called a mock-up and is not the final set of teeth. This stage of designing a new smile allows us to perform minimally invasive dentistry while also giving us precise control for creating a truly custom smile, made just for you.

Before

After
Mock-up smiles are an amazing option for previewing your new teeth. No drilling was needed for this patient and solidified her decision to change her life with a new smile. The photo shows her initial smile on the left and the proposed mockup on the right, no drilling was needed for this photo.

Simple gum surgically can help to drastically enhance certain smiles. By gently sculpting the gums with high-tech dental lasers, beautiful smiles can be revealed. The best part of all is that no injections were needed and gum tissue heals within a few days.

Before

After
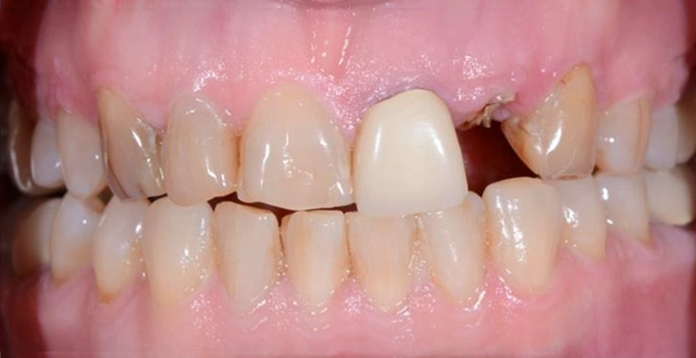
Why are temporary crowns so important to a specialist in prosthodontics? Our temporary crowns are used for diagnosing and correcting cosmetic and functional concerns before we ever move forward with creating your permanent smiles. They’re so important to us that we often refuse to call them temporary crowns and instead use the term Provisional crowns. Our final smiles are based on the adjustments to our provisionals so that your new smile is improved as much as possible.

Before

After
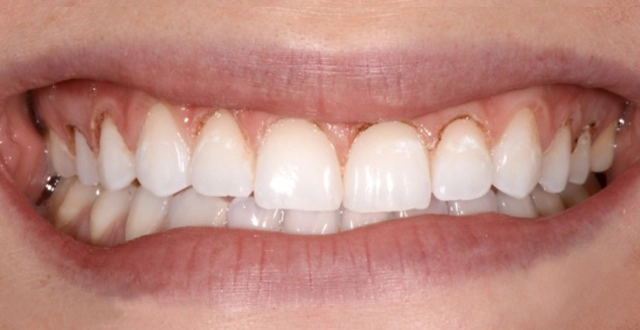
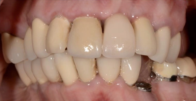
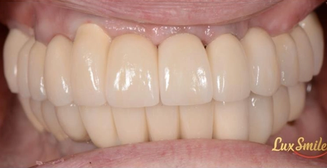
Case 1:
After years of replacing individual missing teeth with implants and having an uneven smile, our patient was excited to have a life changing smile redesign! Additional implants were placed along with a full new set of crowns. Swipe to see just how complex cases like this can be (3 implant systems).

Before

After
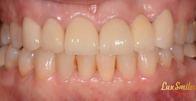
Case 2:
This patient was enduring a fractured tooth, mismatching colors, and different shaped teeth – this patient was ready for a conservative smile makeover. After a combination of tooth whitening and 6 high-end restorations, our patient was ready to smile confidently again.

Before

After
Case 3:
Smiles come in different shapes, sizes, and colors and sometimes with an assortment of all of the above! Smile consultations at Lux Smiles are free! Message or call us to schedule your appointment today :).

Before

After

